Tabac et santé bucco-dentaire
Articles similaires
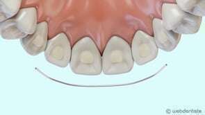
Contention de Hawley
Vidéos 3D
L'hygiène en orthodontie
Vidéos 3D
- À la une (2)
- Cas clinique Adolescent (11)
- Cas clinique Adulte (10)
- Cas clinique Enfant (10)
- Cas clinique Gouttière (2)
- Cas clinique Orthodontie Linguale (12)
- Coûts et prise en charge (1)
- Incidents et urgences orthodontiques (1)
- Informations générales dentaires (38)
- L'orthodontie de l'adulte (8)
- La réussite d'un traitement (11)
- Les enfants & les adolescents (19)
- Orthodontie (145)
- Qu'est-ce que l'orthodontie ? (22)
- Questions fréquentes en orthodontie (6)